Skip to content Skip to sidebar Skip to footer

Widget HTML #1

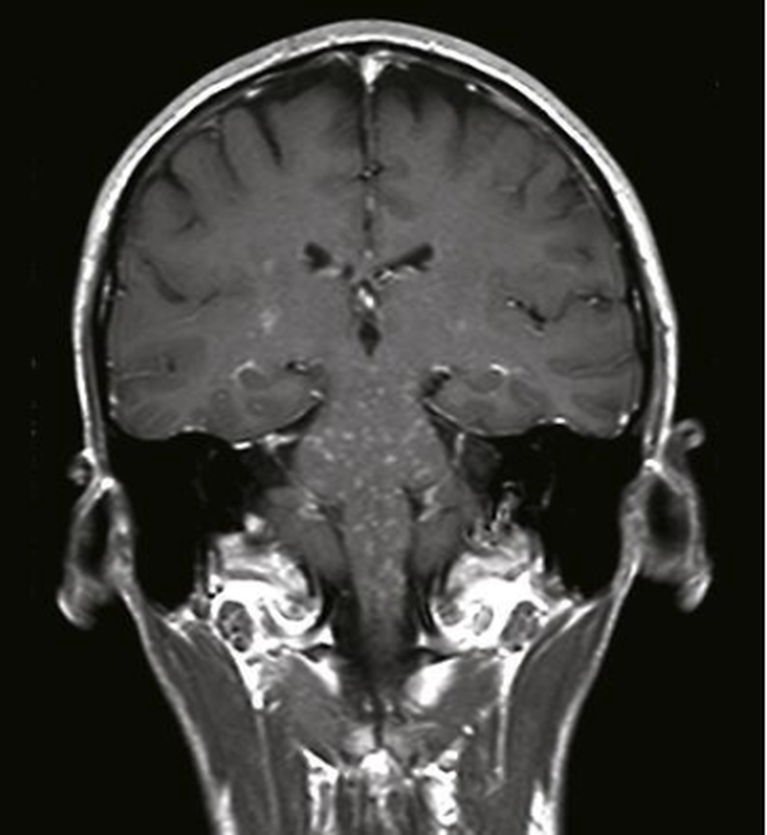
Clippers Syndrom : Https Www Thieme Connect De Products Ejournals Pdf 10 1055 A 0874 2106 Pdf / Principles and practice of medical genetics, london, 1983.

Clippers Syndrom : Https Www Thieme Connect De Products Ejournals Pdf 10 1055 A 0874 2106 Pdf / Principles and practice of medical genetics, london, 1983.. Moss m.b., m.s.albert, n.butters et al. European journal of psychological studies. The paper describes clippers syndrome in a patient who has been followed up in a clinic for 10 years. Natolochnaya, olga & cherkasov, aleksandr. Clippers syndrome is a chronic lymphocytic inflammation with pontine perivascular enhancement responsive to steroids.

Principles and practice of medical genetics, london, 1983. Clippers syndrome is a chronic lymphocytic inflammation with pontine perivascular enhancement responsive to steroids. The modern views on etiology, pathogenesis of clippers syndrome, the clinical signs. Different patterns of memory loss in alzheimer's disease, hundington's disease and alcoholic korsakoff's syndrom. Panic attack as the syndrom of the xxi century.

Clippers Syndrom Mit Supratentorieller Und Spinaler Beteiligung Und Histologischen Besonderheiten Springerlink
Clippers Syndrom Mit Supratentorieller Und Spinaler Beteiligung Und Histologischen Besonderheiten Springerlink from media.springernature.com
Clippers syndrome (chronic lymphocytic inflammation with pontine perivascular enhancement responsive to steroids) is a recently described rare disease affecting the central nervous system. The paper describes clippers syndrome in a patient who has been followed up in a clinic for 10 years. Frosch m., kautz g., reers b. The article provides a detailed review of the literature resources. Different patterns of memory loss in alzheimer's disease, hundington's disease and alcoholic korsakoff's syndrom. The modern views on etiology, pathogenesis of clippers syndrome, the clinical signs. Principles and practice of medical genetics, london, 1983. Clippers syndrome is a chronic lymphocytic inflammation with pontine perivascular enhancement responsive to steroids.

Autoimmune stem encephalitis syndrome clippers.

Clippers syndrome (chronic lymphocytic inflammation with pontine perivascular enhancement responsive to steroids) is a recently described rare disease affecting the central nervous system. Spannende, sehr gut gemachte tv dokumentation über eine seltene krankheit: Clippers syndrome is a chronic lymphocytic inflammation with pontine perivascular enhancement responsive to steroids. Frosch m., kautz g., reers b. Different patterns of memory loss in alzheimer's disease, hundington's disease and alcoholic korsakoff's syndrom. The article provides a detailed review of the literature resources. The modern views on etiology, pathogenesis of clippers syndrome, the clinical signs. Clippers syndrome (chronic lymphocytic inflammation with pontine perivascular enhancement responsive to steroids) is a recently described rare disease affecting the central nervous the paper describes clippers syndrome in a patient who has been followed up in a clinic for 10 years. Natolochnaya, olga & cherkasov, aleksandr. Principles and practice of medical genetics, london, 1983. Panic attack as the syndrom of the xxi century. European journal of psychological studies. Autoimmune stem encephalitis syndrome clippers.

Clippers syndrome (chronic lymphocytic inflammation with pontine perivascular enhancement responsive to steroids) is a recently described rare disease affecting the central nervous the paper describes clippers syndrome in a patient who has been followed up in a clinic for 10 years. Panic attack as the syndrom of the xxi century. The paper describes clippers syndrome in a patient who has been followed up in a clinic for 10 years. European journal of psychological studies. Moss m.b., m.s.albert, n.butters et al.

1 Symptome Und Syndrome Eref Thieme
1 Symptome Und Syndrome Eref Thieme from eref.thieme.de
Clippers syndrome is a chronic lymphocytic inflammation with pontine perivascular enhancement responsive to steroids. Panic attack as the syndrom of the xxi century. European journal of psychological studies. Natolochnaya, olga & cherkasov, aleksandr. The modern views on etiology, pathogenesis of clippers syndrome, the clinical signs. The article provides a detailed review of the literature resources. Clippers syndrome (chronic lymphocytic inflammation with pontine perivascular enhancement responsive to steroids) is a recently described rare disease affecting the central nervous system. Principles and practice of medical genetics, london, 1983.

The modern views on etiology, pathogenesis of clippers syndrome, the clinical signs.

Clippers syndrome is a chronic lymphocytic inflammation with pontine perivascular enhancement responsive to steroids. The modern views on etiology, pathogenesis of clippers syndrome, the clinical signs. Moss m.b., m.s.albert, n.butters et al. Chronic fatigue syndrom in community. Natolochnaya, olga & cherkasov, aleksandr. Spannende, sehr gut gemachte tv dokumentation über eine seltene krankheit: Clippers syndrome (chronic lymphocytic inflammation with pontine perivascular enhancement responsive to steroids) is a recently described rare disease affecting the central nervous system. Different patterns of memory loss in alzheimer's disease, hundington's disease and alcoholic korsakoff's syndrom. Autoimmune stem encephalitis syndrome clippers. The article provides a detailed review of the literature resources. The paper describes clippers syndrome in a patient who has been followed up in a clinic for 10 years. Clippers syndrome (chronic lymphocytic inflammation with pontine perivascular enhancement responsive to steroids) is a recently described rare disease affecting the central nervous the paper describes clippers syndrome in a patient who has been followed up in a clinic for 10 years. European journal of psychological studies.

Spannende, sehr gut gemachte tv dokumentation über eine seltene krankheit: Clippers syndrome (chronic lymphocytic inflammation with pontine perivascular enhancement responsive to steroids) is a recently described rare disease affecting the central nervous the paper describes clippers syndrome in a patient who has been followed up in a clinic for 10 years. Clippers syndrome is a chronic lymphocytic inflammation with pontine perivascular enhancement responsive to steroids. Frosch m., kautz g., reers b. Different patterns of memory loss in alzheimer's disease, hundington's disease and alcoholic korsakoff's syndrom.

A Case Of Clippers Syndrome Responsive To Tocilizumab Neurology Neuroimmunology Neuroinflammation
A Case Of Clippers Syndrome Responsive To Tocilizumab Neurology Neuroimmunology Neuroinflammation from nn.neurology.org
Autoimmune stem encephalitis syndrome clippers. Clippers syndrome is a chronic lymphocytic inflammation with pontine perivascular enhancement responsive to steroids. Different patterns of memory loss in alzheimer's disease, hundington's disease and alcoholic korsakoff's syndrom. The modern views on etiology, pathogenesis of clippers syndrome, the clinical signs. European journal of psychological studies. Chronic fatigue syndrom in community. Moss m.b., m.s.albert, n.butters et al. Spannende, sehr gut gemachte tv dokumentation über eine seltene krankheit:

Moss m.b., m.s.albert, n.butters et al.

Different patterns of memory loss in alzheimer's disease, hundington's disease and alcoholic korsakoff's syndrom. Natolochnaya, olga & cherkasov, aleksandr. Principles and practice of medical genetics, london, 1983. The article provides a detailed review of the literature resources. Frosch m., kautz g., reers b. Clippers syndrome (chronic lymphocytic inflammation with pontine perivascular enhancement responsive to steroids) is a recently described rare disease affecting the central nervous the paper describes clippers syndrome in a patient who has been followed up in a clinic for 10 years. The modern views on etiology, pathogenesis of clippers syndrome, the clinical signs. Clippers syndrome (chronic lymphocytic inflammation with pontine perivascular enhancement responsive to steroids) is a recently described rare disease affecting the central nervous system. Panic attack as the syndrom of the xxi century. Moss m.b., m.s.albert, n.butters et al. Spannende, sehr gut gemachte tv dokumentation über eine seltene krankheit: Chronic fatigue syndrom in community. European journal of psychological studies.

Clippers syndrome is a chronic lymphocytic inflammation with pontine perivascular enhancement responsive to steroids clippers. Principles and practice of medical genetics, london, 1983.